
First: Thanks to all the great Doctors who have helped me with my Coronary Artery Disease! especially to
Dr. Amar Shah for his attention to details.
This page contains raw Research data: is not for medical advice and is currently under construction!
One possible exception: If you have metabolic issues you might want to get imaged!
![]() |
VIETNAM VETS AGENT ORANGE & HEART DISEASE |
FEATURED THIS WEEK!! SALT also see end of this page! DR NANCE SOFT PLAQUES VUNERALE PLAQUES (SEE DETECTION)
What a CAC scan/score shows and dosn't show technical but lots of info
The Game Changers Movie Vegan vs. Carnivore
(about fat and circulation / blood flow) Coranary Heart Disease (about fat and circulation / blood flow) |
2020 update: My 640 slice CTA , Nov 2019
Hoping to have had some reversal but no luck despite 6.5 yrs following Dr Esselstyn's and others Plant based program to the T, However! still pushing forward with hopefully just a modest increase in the disease year to year. Guess we are all different. A vitamin A,D and K2 protocol was observed for the last 3 years. |
CTA's were taken on 2-2017 and 11- 2019 app. 34 months apart on the same Toshiba Aquillion
Total calculated Agatston score (excluding stent) is: 414 ( prior 382) LAD: 209 (prior 210) LCX: 197 (prior 171) RCA: 8 (prior 1)
Ivor Cummins was nice enough to send me the link below which shows the calculated risk of Coronary Calcium Progression using Statins which was a big help in understanding the possible progression of the disease, however I did not use high dose statins. I take 15-20 mg's a week at best, so 5mg's 3-4 times a week for me. Almost like every other day. I did use diet and exercise so might that have the same affect as high dose statins? no telling for sure but I am assuming and hoping the same or better. tks, Ivor Also sincere tks to Rich Gordon and Dr Shaw @ Northwell, and J Nobile @ GPC
|

2020 photo courtesy of Dr Shaw, showing stent in LAD and disease in LCX
end view of an artery seen on right side. Below 2020
CAN YOU JUDGE STENOIS WITH A CAC TEST ! NO
https://www.ncbi.nlm.nih.gov/pmc/articles/PMC5035795/
NEGATIVE PREDICTIVE VALUE OF CAC SCORING start at time line 10.00
this link is referenced in above clip https://pubs.rsna.org/doi/abs/10.1148/radiol.2352031813
PASSED ALL YOUR CARDIO TESTS, ZERO CAC TEST, YOUR HOME FREE, HAVE, HAD RISK FACTORS, THINK AGAIN!
Below Photo: Ivor Cummins puts forth a good analogy of what the most likely causes of heart disease are, drinking not mentioned? this is not a movie.
Coronary Artery Disease Progression
|
photo 3
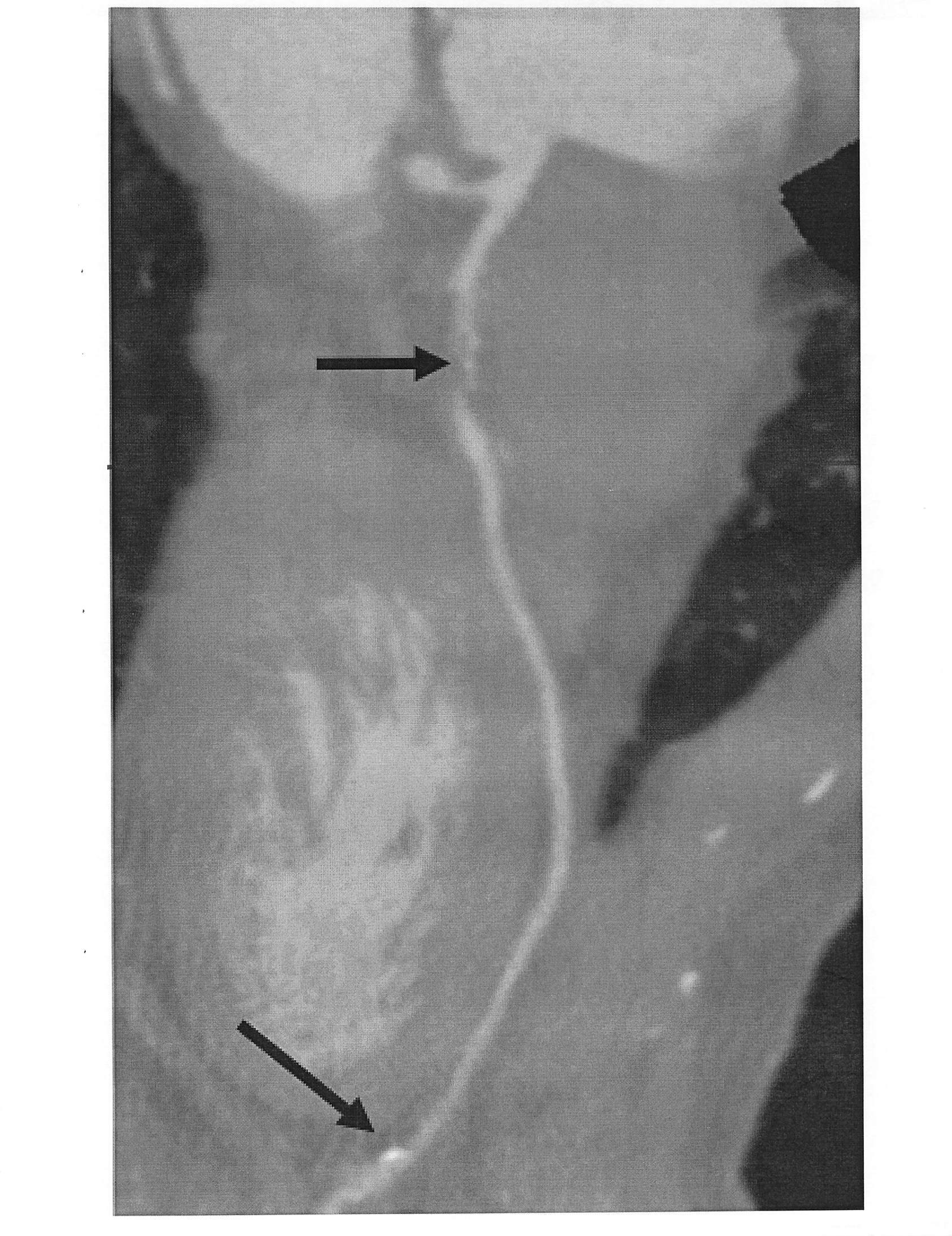
The angiograph strips below were taken during my stenting procedure. The radiation dose for an angiogram is mostly dependent on the time and energy used to obtain the results. Some procedures can be done in minutes others take longer. i.e. stenting. So depending on the procedure and size of the person of course the radiation doses for angiographs can range anywhere from 10-100 times more that a CTA in some cases. LATEST NEWS ON IMAGING, BIO ABSORD STENTS ETC. CAN BE FOUND here Shown below is photo of my main LAD before and directly after my stent, May28, 2013. Below photos where taken during the my stent procedure catheterization - angiography - angioplasty procedure Stents and Positive remodeling, Dr Srinivas explains. might be a good place to start especially if your Calcium score is high?
< CLICK ON PHOTO TO SEE THE SAME ARTERY PRE-CATH ON A CTA |
| The person that usually analyzing these types of diagnostic images is classified as a diagnostic radiologist, these types of doc's are usually bought up by money making diagnostic labs and cannot be found. I have had several cardiologists and not a one has every looked at an image or for that matter even wanted to. He or she will most likely at best just read his or her report, so asking questions about questionable images is hard pressed at best, such a shame ! |
Right Photos are my arteries and are links, yikes! What does artery disease look like on a CTA? A 2017 CTA photo of my arteries: The left photo unfortunately shows the current disease in the CFX artery. My recent radiological report from these photos mentions coronary artery disease only and depicts the stenosis within the artery as a percentage, mine is < 25% great, but this is only a guesstimate and can vary 10% 20% and up to 30% is my understanding. I have seen two cardiologists since with the radiological report and they both say great less than 25%, blockage while neither actually even bothered to look at the photo with the actually disease. I asked both doc's if they would like to see the photos and they both declined. The Stenosis reported in the above angio photo group (BEFORE / AFTER) at the time of the stent was reported as 40% 50% and 60% by angio cath and now by CTA they say < 25%, I am in the process of finding out by comparison if this is true, I will be comparing the 2013 CTA to the 2017 CTA. By observation I noticed the overall sublumenal disease show in photos has not seemed to change much if at all. I also learned that the angio photo guesstimates are just that and do not hold much weight as far a accuracy if at all, they appear to be visual guides with numbers attached by the surgeon and or helper at the time of the CATH, why bother except to sell more operations. So in 2013 my artery blockages were 40-50-60% determined by the angiogram now compared to a CTA they are less than 25%, yea right, wishful thinking for sure. The disease looks the same to me photos to be posted. Can't help thinking that they do many unnecessary by pass operations based on the CATH readings/photos which are at best only guesstimates in most cases. i.e. I recently had a friend diagnosed by CATH that he had 80% blockages is all four arteries and received an immediate quadruple by bass operation? When you go under you basically give them cart blanche to do what is necessary, the way I got around this was to get the CTA before the CATH, In my case I was pretty sure what was going to happen before the CATH.
|
In the above left photo white is calcified plaque, dark irregularities and raised areas are the disease itself . Of note: although the stenosis, narrowing is only 25% this give or take 10% -30%, yes. in most cases it is reported that the stable white plaque is not the soft vulnerable plaque that causes a heart attacks but instead its the dark areas of soft vulnerable plaque beneath the artery walls that tend to be the culprits, however they actually can occur anywhere at anytime. The idea is that through (positive remodeling) the plaque builds up pressure beneath the artery wall and finally when enough pressure or disease happens within, the area is subject to rupture. If the artery blockage us severe enough a heart attack can ensue. So passing all your basic yearly tests really don't mean a thing buddy, imaging is key! |
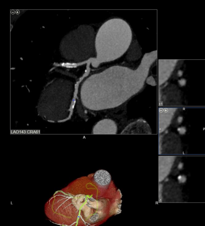
CTA Imaging for heart disease using a 640 Slice CTA 7. From the 3 photos below you can see kinda see the clarity that the 3 different types of imaging I had done and what each machines produces, unfortunately I still see my disease in the 3rd and best picture, so in 4 years the plaque burden evidently remains about the same, so good news. |
photo 7
2013, CTA of my CFX |
2015 MRA of my CFX artery MRI machine |
2017, 640 CTA slice machine of my CFX artery Dr. Amar Shah location of Northwell CTA |

![]() |
2020 curved multi planar images showing stent in LAD(left) and disease in LCX tks Dr. Shaw for great images, end view of arteries are seen on right. |
HEART ATTACK CITY - diabetes mellitus The featured video below contains great simplified common sense information about artery disease and diabetes and in my opinion is easy to understand and well put together, however I personally would not go for the CAC test initially as it only shows limited information about the entirety of the sub endothelium disease, now add a extremely low radiation 640 slice CTA in place of the CAC test that the video is suggestive of and you hopefully will be able to see MOST of your cardiac disease before it is too late as it was in my case. Ivor's video mentions - don't count on the basic tests at the doc's like LDL etc, I could not agree more, read on ~ Ivor's video mentions the importance of a proper complete lipid panel test i.e. a VAP http://drhedberg.com/vap-cholesterol-test/ or NMR lipid/cholesterol test, I agree, in doing so you will get markers like LDL-P Apo (a) and (b) and many others markers that you will not get on your local checkup that may influence heart disease much more than any basic yearly lipid tests. My pre stent lipid tests were just about useless and were not helpful in predicting any portion of my coronary artery disease: so to reiterate and to concur with Ivor, the basic cholesterol tests are just about useless and can be very misleading at best in determining heart disase, yet the medical profession insists on holding on to this useless paradigm as a means of determining ones risk for coronary artery disease while never finding out if you actually have the disease, just a crazy waste of time and unfortunately I am sure lives in far too many cases. The other tests for coronary artery disease that may prove live-saving are a homocysteine blood test and a LP-PLA 2 test, EXTREMELY important markers to be aware of as well as the IR (insulin resistance) test, these tests could be included in the VAP or NMR tests as they can be very revealing. Good Luck and thanks to my wife K for turning me onto this great video by Ivor Cummins, a biochemical engineer.
|
THE COMLETE CHOLESTEROL STORY |
WANT TO UNDERSTAND CHOLESTEROL IN THE BODY, 1:47 minutes or click on this photo for the chart at the end of the video. The cholesterol conundrum by Ivor Cummins is excellent video and I highly recommend it to understand how cholesterol works in our bodies, however it falls short in my opinion in providing any dietary or statistical information for people who already have coronary heart disease, like myself. I am hoping that some studies can be provided in the future by the fat diet promoting community which might elucidate this extremely important point for those of us whom are already affected. I am confident if and when the information is available Ivor will be the one to find it. Whereas at present a plant based diet for people with heart disease has been proven statistically to save lives. i.e. Dr. Ornish, Dr. Esselstyn, Dr. Greger and others! so until then ~ More info to be posted about Dr Ornish, seems my heros are fading chased by keytones, hmmmm! will see. |
Great extensive complex video on insulin resistance, IR! really fast moving and technical so use your pause button to stop look and read, to really get it you will have to watch several times I am sure. Bottom line, his recommendation is less fat, less sugar! ![]() |
|
HOMOCYSTEINE LEVELS ARE OVERLOOKED BY ALMOST ALL CARDIOLOGISTS, YET IT REMAINS A GREAT & SIGNIFICANT FACTOR IN HEART DISEASE ! THE TEST COSTS UNDER $50 My homocysteine level was almost 17 when the above Before After pictures were taken, now it is 8. Genetic tests revealed that I am homozygous For A1298C which is a predictor of High Homocycteine. See B12 absorption page dangers of high homocysteine and Coronary Heart Disease and why don't they tell people! |
![]() |
Advanced lipid testing (NMR OR VAP) tests can be much more important than conventional lipid testing! LDL-P is particle number, and too many may be dangerous even if your LDL is low! or so it is grafted and statistically reported. There is so much unknown in current Lipidology that any lipid tests seem to be a stretch, so one may choose to go there or not. Personally having heart disease I wanted to see what was up. In fact I ran my own case study for two years about every month or so and regulated my statin dosage down from 40mg of Lipitor to 5mg every other day, complete reports to be posted. |
photo 8 left, photo 9 right
Calcium in your arteries why western medicine has not idea about the etiology and or treatment of artery calcification is a wonder! NEW FLUORIDE AND ARTERIAL CALCIUM DEPOSITS !
|
The Complete Vitamin K Story |
pictures below are links!
| Both books are very informative with regards to how Calcium gets into and out of our arteries. How and and more importantly why western medicine misses this point is amazing! once we have artery disease should we try to remove it? I don't know. |
The below research was done using Google searches i.e. unrefined salt benefits , aspirin dangers,
statin dangers , statin dangers You Tube. etc.
SECTION 2. STATINS / CHOLESTEROL / LIPIDS
|
Pharmacokinetics = HOW A DRUG WORKS, CAN STATINS CAUSE DIABETES? https://www.ncbi.nlm.nih.gov/pmc/articles/PMC4156828/ Have you been fooled by big pharma? Watch Statin Nation or at least the trailer on You Tube, this is the video that started my 4 years of research and prompted my own case study. You can get the full video online! STATIN DANGERS WHAT CAUSES THE PAIN Take all the prescriptions in the world and put them in the ocean and you will have no FISH! Gateway drugs: drugs you take that lead to you taking other drugs to resolve the side effects of the first. Xenobiotics, Epigenetics I.E. if you grandfather died of a heart attack and ate butter and your father died of a heart attack and ate butter but you did not eat butter guess what? Statin Muscle Pain what about diabetes? STATIN BENFITS ? appears many of my links below are outdated, sorry will work on it, but check here for updated info ALL STATIN LINKS (my bookmarks) |
pictures are links of a just few of many, many reference books I have found helpful in my journey!
![]() |
new~ interesting!
![]() |
CANCER: focus: Prostate Cancer: harm of too much Vitamin E Dr Rhonda Patrick, video, wow! CANCER: focus: cancer in not genetic but metabolic disease by Dr Thomas Seyfried ~ his views, video Dr Rhonda Patrick's website some really interesting videos |
Dr. Ronald Krauss on LDL Cholesterol, Particle Size,
|
---------------------------------------------------------------------------------------------------------------------------------------------------
Note: bought most books on Amazon!some more good books to keep the machine running!
SECTION 3. ASPIRIIN ~ Dual Anti Platelet Therapy is it good for you? what nobody tells us!
LASTLY: IF YOU MUST TAKE ASPIRIN DR. CHRIS MASTERJOHN
| This page is dedicated to my dear friend Bill who presumably was first put in a wheel chair by statins and then presumably or most likely died as a result of dual anti platelet therapy which is Aspirin and Plavix together . He died of a hemorrhagic stroke which is the bleeding of a brain vessel. His death in my opinion was most likely Iatrogenic (doctor/drug induced) ironically I now must resort to taking it myself for elevated MPV and low salicylates. For certain I have tried all other natural ways. |
| In the early 2000s the endovascular functions of the COX enzymes were unraveled. COX enzymes proved to play important parts in thrombogenesis [ 36 ]. Activated blood platelets produce COX-1-dependent thromboxane TXA2, which acts as a prothrombotic platelet agonist and vasoconstrictor. Nearby endothelial and smooth muscle cells produce COX-2-dependent prostaglandin I2 (PGI2), especially after cell damage has occurred [ 37 ]. PGI2 is an antithrombotic platelet inhibitor and vasodilator and thus modulates the interaction between activated platelets and the endovascular wall. Cell damage, atherosclerotic plaques, and laminar shear forces selectively up-regulate the expression of COX-2 by endothelial cells in an attempt to maintain homoeostasis [ 38 ]. Understanding these mechanisms, one could infer that, in clinical syndromes associated with platelet activation, COX inhibition by any NSAID, but especially by COX- 2-selective NSAIDs, may increase the risk for cardiovascular events [ 37 ]. As their effect is temporary and reversible, only continuous high dosage of nonselective NSAIDs will considerably inhibit COX-1 and COX-2. However, COX-2-selective NSAIDs may, by their irreversible covalent binding of COX-2, strongly impair the synthesis of endothelium derived antithrombotic and vasodilatory prostacyclin while lacking COX-1-inhibiting effects on platelet aggregation, thus tipping the scales of homeostasis in favor of thrombogenesis and vasoconstriction full article |
![]() |
Can you get Helicobactor Pylori from aspirin Warning don't look if you are squeamish! Googles photos |
Most below links discourage the use of aspirin for Primary Prevention, primary prevention is when you are taking it to prevent a disease and some links below are pro aspirin for Secondary Prevention only! Secondary Prevention is when you already have a disease and treat it! many links show the pharmacokinetics of aspirin (how it works) Featured Website they seem to have done there homework ~ Repair of the Stomach and Duodenal after ulceration Dr Greger, on Salicylic acid (Aspirin) in Plants |
*interesting! http://www.herbalremediesadvice.org/meadowsweet-herb.html *Aspirin is still one of the most widely used drugs on the market with 40,000 tons of it being consumed each year around the world! Most people tend to think of over-the-counter medicines as being safe. However, According to the American Gastroenterological Association (AGA), each year the side effects of NSAIDs hospitalize over 100,000 people and kill 16,500 people in the U.S. alone. The most common side effects of aspirin include bleeding ulcers and tinnitus. Use with caution. Vasoconstriction possibilities? takes minute to load from their library
all aspirin links (my bookmarks) |
![]() |
SECTION 4. SALT
Dr. Alderman has authored more than 270 scientific papers, book chapters and textbooks. He is editor of the American Journal of Hypertension , a fellow of the American College of Physicians, a member of the Association of American Physicians, and a past president of both the American Society of Hypertension and the International Society of Hypertension. NY Times Article . Is less Sodium good for you by Dr. Michael Alderman a must listen!! more about Dr Alderman and Hypertension. http://biomify.com/salt- insulin-diabetes/ https://www.youtube.com/watch?v=-ygExIZm7Wo https://journals.plos.org/plosone/article?id=10.1371/journal.pone.0189099 http://www.einstein.yu.edu/faculty/experts/428/-/ http://www.todayifoundout.com/index.php/2013/02/why-does-salt-raise-blood-pressure/ http://www.louix.org/the-difference-between-refined-salt-and-unrefined-salt/ http://www.louix.org/the-difference-between-refined-salt-and-unrefined-salt/ NOTE: In the clip you can clearly read 12 grams is High and suggested amount is 6 grams, which is 1.5 teaspoons. One study uses mice the other astronauts in space NOTE: Also the studies most likely use refined salts. |
2018 Dr. Raymond Fung Salt ! |
salt continued ~

RAAS System 1. https://www.youtube.com/watch?v=LIJmUiXYctw |
The renin–angiotensin system (RAS) or the renin–angiotensin–aldosterone system ( RAAS ) is a hormone system that is involved in the regulation of the plasma sodium concentration and arterial blood pressure Overview: The raas system which stands for R=Renin, which is made in the kidneys, Angiotension 1 and II which is made in the liver and lungs and Aldosterone which in part is made in the Adrenals and finally System = System. This system is basically responsible for raising blood pressure and blood volume,it does this (in part) by increasing Sodium, Chloride and water levels in the kidneys when systemic low sodium/volume occurs. |
Understand there are many different opinions out there, so Research, Research, Research, Research, and then you decide. The links I posted are mostly pro for unrefined salt and negative to refined salt of any kind, why, you decide ! a few writers in the below links also sell salt, make you own mind up. dR's note, if I may! I believe when you read articles about salt causing fluid retention and consequently high blood pressure (hypertension) it is for the refined salt version ONLY as most people who make this statement or these types of statements are completely unaware of the qualities of unrefined salt, so..........!. Hey nice if there was a study that would compare the two salts side by side in one randomized double blind placebo controlled study huh, this study I have not found as yet, if you have please let me know ~ |
![]() |
snow monkeys mineral baths? hey watch out or you will get high blood pressure too
TOO LITTLE SALT BY MERCOLA
KRESSLER ON SALT RESTRICTION
1. http://www.nytimes.com/2012/ 06/03/opinion/sunday/we-only- think-we-know-the-truth-about- salt.html?pagewanted=all
2. http://www.scientificamerican. com/article/its-time-to-end- the-war-on-salt/
3. http://articles.mercola.com/ sites/articles/archive/2013/ 04/04/high-salt-consumption. aspx
4. http://www.bengreenfieldfitness.com/2013/10/grain-salt-really-killing-insides/
5. http://docsfitnesstips.blogspot.com/2012/09/pass-salt.html
Dr. Batmanghelidg https://www.youtube.com/watch?v=8xweziIaUMo&t=2155s (this is very technical)
)
Bacteria being battered by Colloidal Silver https://www.youtube.com/watch? v=hhOwSQriB8E
MY OLD DIET
After 4 years of the diet below I see no improvement on the actual disease, so I have switched to modified keto type diet, will retest in a few weeks!
Unfortunately there are no studies that I can find for those of us who already have coronary artery disease to see if this heavy fat and oil diet would have a
detrimental effect on a well established arterial disease. If you know of any please let me know. Nitric oxide is a major condiseration, inflamation was considered.
My Diet for the most part all organic if and when possible 1. Beans,peas,lentils and Legumes, fat 1 g per serving
|
dR drrick.com I am not a medical doctor
email: drricknyc@gmail.com